Before & After
Testimonials
Case Galley
Title
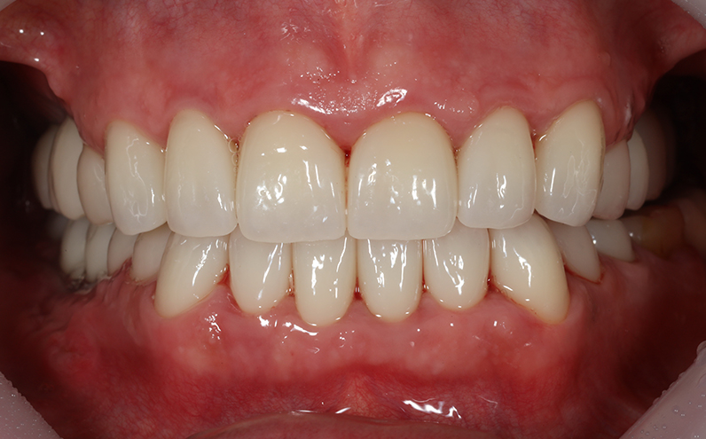
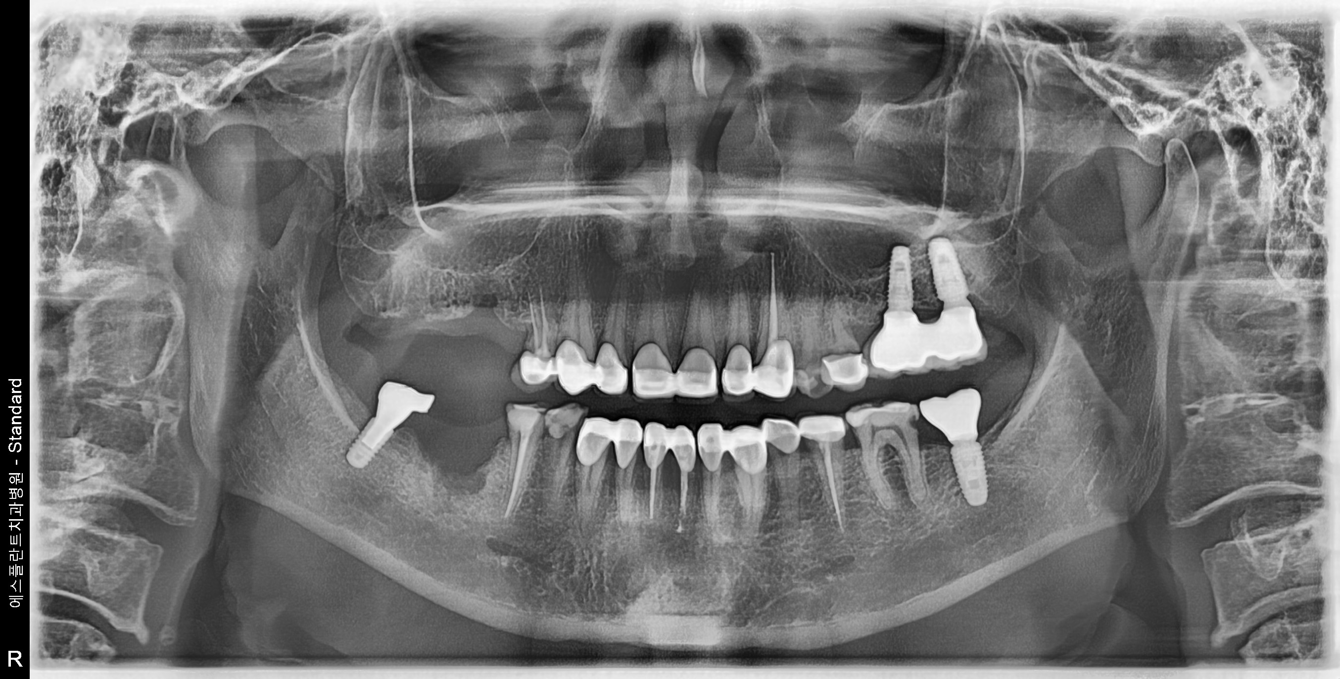
Esthetic prosthetic remake, Dental Implant, Sinus-lifting, Bone Graft
Category : Implant
Category
Implant
Date
2025-01-02 15:55
Views
310
59 y.o, Kazakhstan, Astana
Operating dentist:Roh Hyun Ki
Operating dentist:Roh Hyun Ki
