Before & After
Testimonials
Case Galley
Title
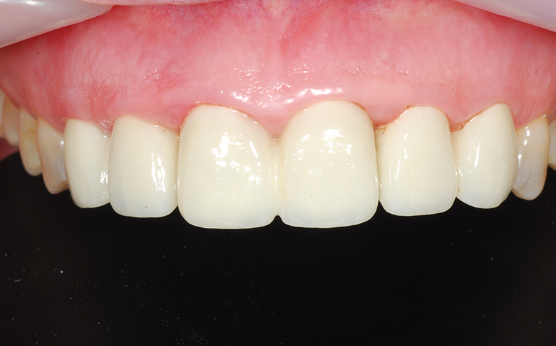
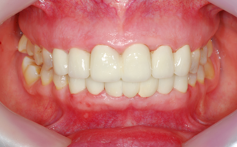
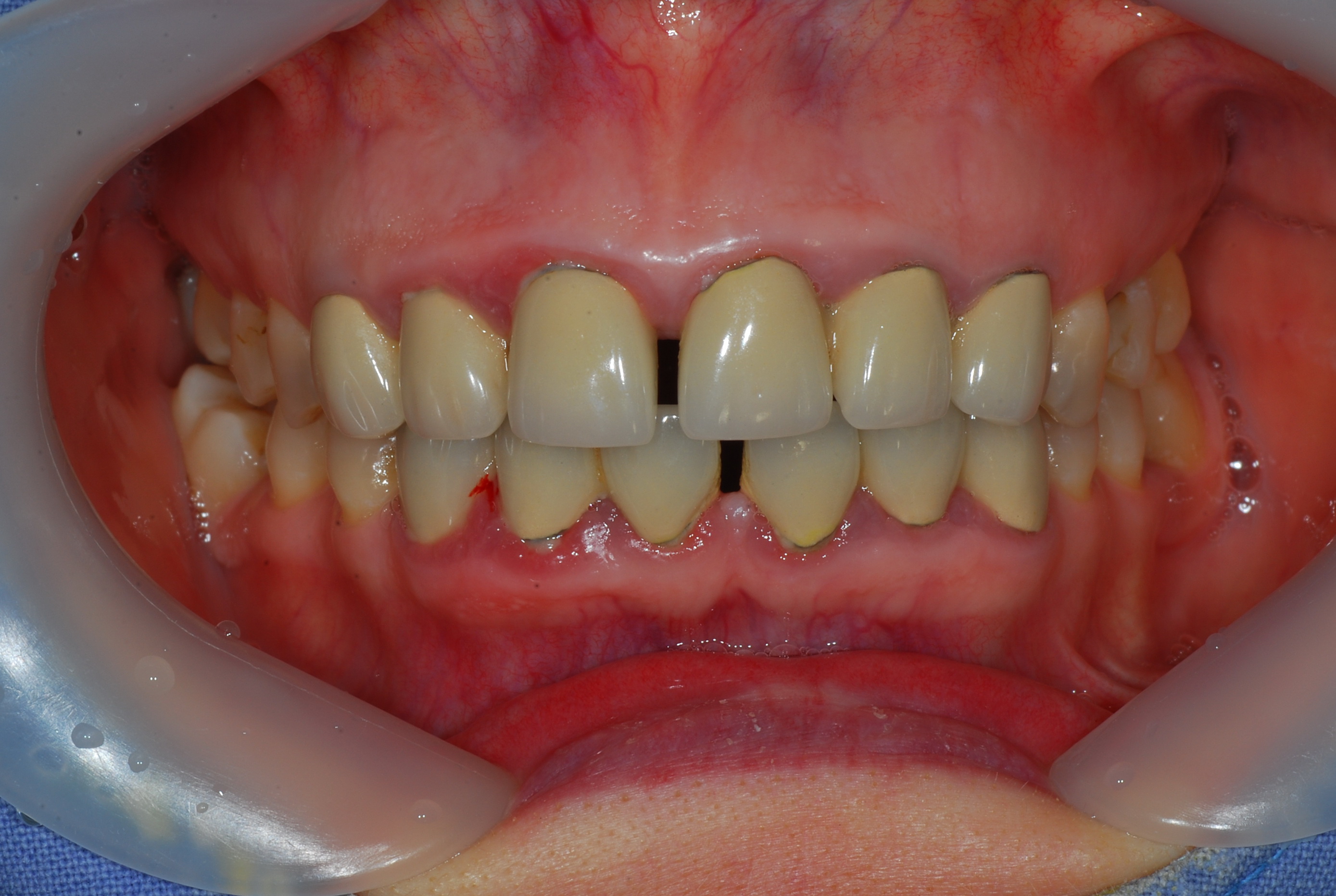
Esthetic prosthetic (upper, lower jaw)
Category : Dental Caries
Category
Dental Caries
Date
2025-01-02 15:56
Views
297
46 y.o, Kazakhstan
Operating dentist:Roh Hyun Ki
Operating dentist:Roh Hyun Ki
