Before & After
Testimonials
Case Galley
Title
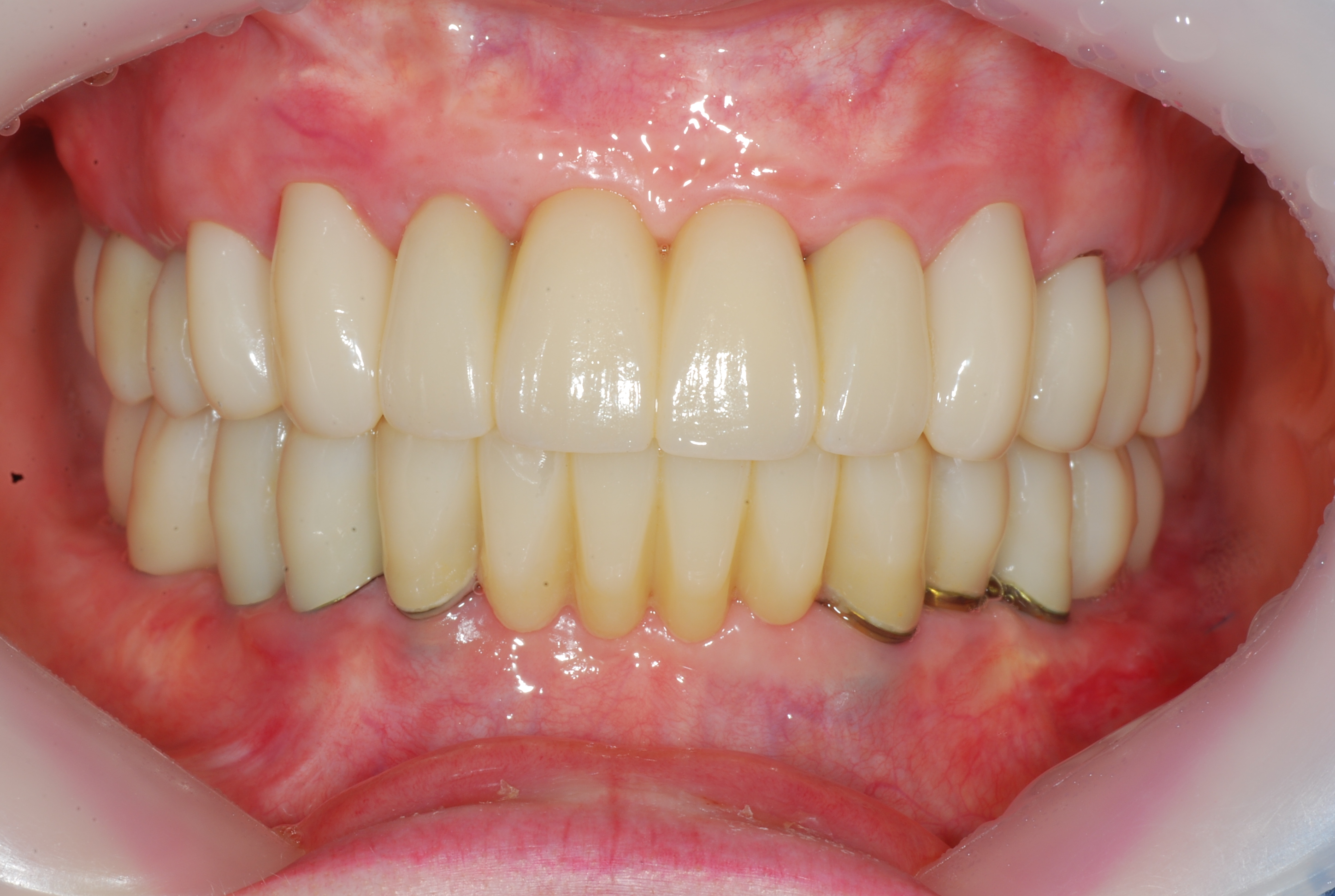
Full-mouth dental implants and prosthetics with sinus lift (upper jaw)
Category : Implant
Category
Implant
Date
2025-01-02 16:06
Views
316
58 y.o, Kazakhstan
Operating dentist: Roh Hyun Ki
Operating dentist: Roh Hyun Ki
