Before & After
Testimonials
Case Galley
Title
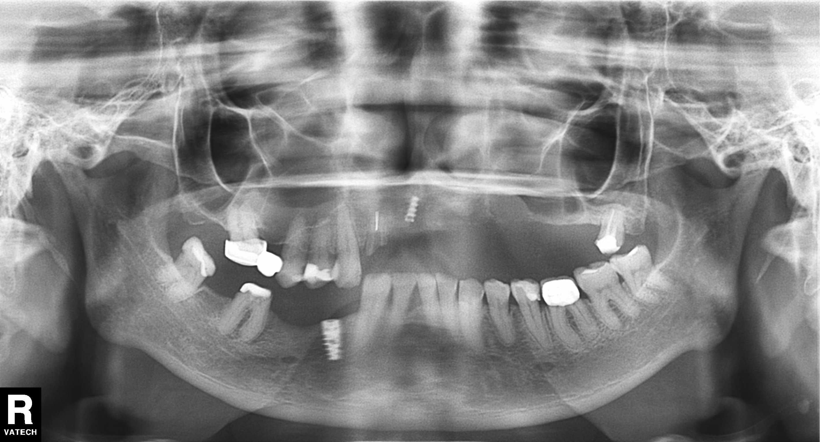
Old Detal Implant removing, Dental implant, Sinus-lifting, Bone graft
Category : Implant
Category
Implant
Date
2025-01-02 16:07
Views
319
63 y.o, Kazakhstan
Operating dentist:Roh Hyun Ki
Operating dentist:Roh Hyun Ki
