Before & After
Testimonials
Case Galley
Title
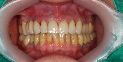
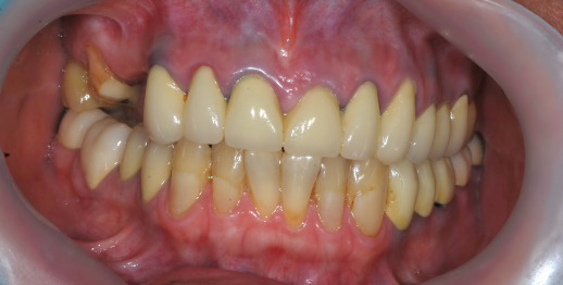
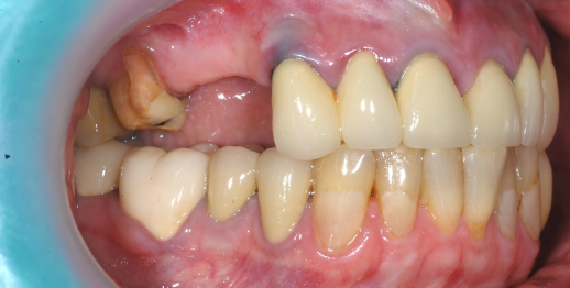
Upper jaw dental implants and bone graft
Category : Implant
Category
Implant
Date
2025-01-02 16:08
Views
313
55 y.o, Russia
Operating dentist: Roh Hyun Ki
Operating dentist: Roh Hyun Ki
