Before & After
Testimonials
Case Galley
Title
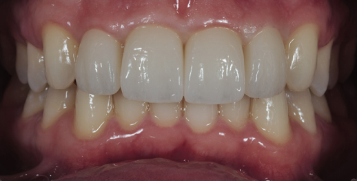
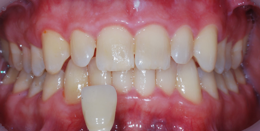
Front teeth Esthetic prosthetic (upper jaw)
Category : Dental Caries
Category
Dental Caries
Date
2025-01-02 16:09
Views
304
37 y.o, USA
Operating dentist:Roh Hyun Ki
Operating dentist:Roh Hyun Ki
